• Home
  • Medicina dentaria +
    • Implantologia
    • Cirurgia
    • Prótese dentária
    • Ortodontia
    • Odontopediatria
    • Periodontologia
    • Estética dentária
    • Endodôntia
    • Dentária Preventiva
  • Medicina geral +
    • Alergologia
    • Pediatria
    • Podologia
    • Osteopatia
  • Contactos
  • Parcerias

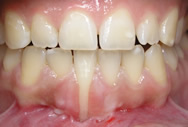
Periodontologia

Esta ciência dedica-se ao diagnóstico e tratamento das doenças que afetam as estruturas de suporte do dente, gengiva, ligamento periodontal, osso alveolar.

As alterações patológicas destas estruturas são chamadas doença periodontais que são a gengivite e periodontite. Estas são a consequência da inflamação gengival, provocada pelo mau controlo da placa bacteriana e a não remoção do tártaro. Existe uma prevalência elevada destas doenças na população, que é a principal causa de perda de dentes nos adultos.

Daí ser fundamental a observação periódica por um médico dentista e efectuar a limpeza do tártaro, destartarização, periodicamente, de 3 a 6 meses, em função do gravidade da situação clínica.

A periodontite é uma doença irreversível e silenciosa, por não provocar dor, apenas num estado mais avançado há sintomatologia.

Daí que a periodontologia se dirija para ações de promoção de controlo de placa batariana por parte do paciente, ações de remoção de tartaro através de técnicas de destartarização com ultra-sons e/ou manuais, uso de agentes farmacológicos e por vezes técnicas complementares de cirurgia periodontal cirurgia de regeneração periodontal.

Cuidamos das suas gengivas e tratamos das doenças com elas relacionadas


Tel.  229 514 132
Tlm. 969 608 315
Email geral@oralvital.pt

Se desejar entrar em contacto connosco, faça-o usando os nossos telefones, por e-mail ou preenchendo o formulário aqui disponibilizado para o efeito.