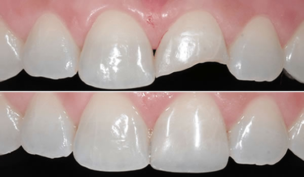
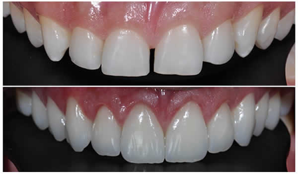
Dentisteria e medicina dentária estética é o ramo da medicina dentária responsável pela restauração de dentes, com lesão de cárie, alterações da forma, da cor, resolução de fraturas, substituição de restaurações antigas danificadas e encerramento de espaços entre dentes.
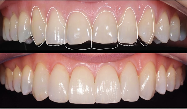
Nesta área procede-se também à colocação de facetas estéticas, pearcings dentários e branqueamentos, com o objetivo de restabelecer ou melhorar a estética e função dentária.
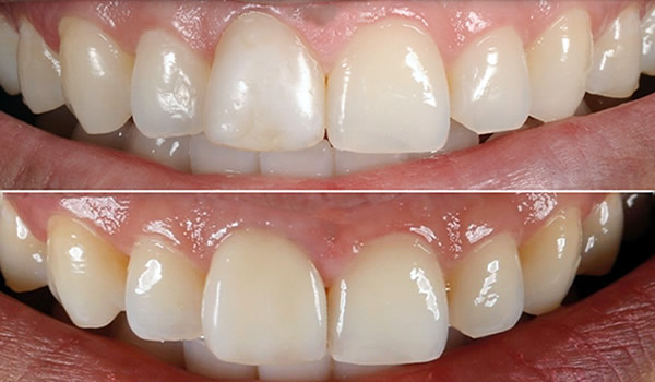
Existem uma série de tratamentos disponíveis para melhorar a estética de seus dentes.
Após analisarmos seu caso em particular, podemos indicar o melhor procedimento para mudar radicalmente a aparência de seu seu sorriso.
